温度20℃ 湿度72% 曇り
妻が入院することになった。一回目は夜間に腹が痛み出し、どうにも我慢ができない様子なので、救急車を呼んだ。
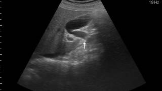
病院で胆石があるといわれ、そのまま入院となった。大きな石が2個エコー検査で写っている。胆嚢を摘出するのが完治になるそうだが、この時は胆のう炎を起こしているため、脇腹から炎症を起こしている胆汁を抜くことになった。この時は、石を残したまま、退院した。が、しかし、一か月も経たないうちに、再入院することになった。一週間ほど、熱があがったり、さがつたり、悪寒や嘔吐があったりしていたので、かかりつけの先生もこれは風邪ではなく、胆のう炎からきているということで前回の病院へ入院した。今回は、腹腔鏡下胆嚢摘出術で胆嚢ごと石も摘出した。
妻が入院することになった。一回目は夜間に腹が痛み出し、どうにも我慢ができない様子なので、救急車を呼んだ。
病院で胆石があるといわれ、そのまま入院となった。大きな石が2個エコー検査で写っている。胆嚢を摘出するのが完治になるそうだが、この時は胆のう炎を起こしているため、脇腹から炎症を起こしている胆汁を抜くことになった。この時は、石を残したまま、退院した。が、しかし、一か月も経たないうちに、再入院することになった。一週間ほど、熱があがったり、さがつたり、悪寒や嘔吐があったりしていたので、かかりつけの先生もこれは風邪ではなく、胆のう炎からきているということで前回の病院へ入院した。今回は、腹腔鏡下胆嚢摘出術で胆嚢ごと石も摘出した。


【胆石症】胆石の原因、痛みの症状、予防法

オフ オン 並び替え 関連投稿



























































































